Оренбургский государственный медицинский университет получил патент на способ прогнозирования риска регионарного метастазирования у пациенток с ранними стадиями рака молочной железы.
Разработка принадлежит коллективу учёных под руководством доктора медицинских наук, профессора кафедры онкологии ОрГМУ Марины Сеньчуковой (в настоящее время — главный научный сотрудник РНЦ хирургии им. акад. Б.В. Петровского).


Рак молочной железы остаётся одной из основных причин онкологической заболеваемости и смертности среди женщин. Прогностически наиболее значимым фактором считается статус регионарных лимфатических узлов. От него зависит объём хирургического вмешательства и необходимость неоадъювантной химиотерапии. Сегодня для диагностики метастазов на ранних стадиях применяют биопсию сторожевых лимфоузлов, но метод имеет недостатки: отсутствие единых стандартов и сложности с точной оценкой количества поражённых узлов.

Исследователи проанализировали образцы опухолей 148 пациенток и разработали алгоритм, основанный на комбинации двух критериев:
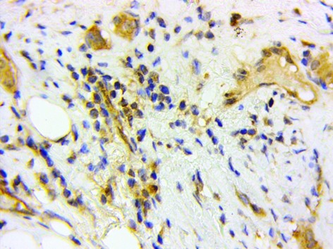
- плотность лимфоцитов, экспрессирующих белок PDCD1LG1+ (оценивается по специальной шкале);
- наличие лимфоваскулярной инвазии — проникновения раковых клеток в близлежащие лимфатические или кровеносные сосуды.
Если относительная плотность таких лимфоцитов превышает 3 балла и присутствует лимфоваскулярная инвазия — риск метастазирования высокий. Если плотность также выше 3 баллов, но инвазия отсутствует — риск низкий.
В Центе медиакоммуникаций ОрГМУ отметили, что научная работа выполнена при финансовой поддержке Российского научного фонда (соглашение № 23-25-00183 от 12.01.2023). Патент № 2853433 получен 25 декабря 2025 года. Новый метод прост в применении, не требует значительных затрат и обладает высокой точностью. Его внедрение в клиническую практику поможет врачам персонализированно подбирать тактику лечения.
Фото: Центр медиакоммуникаций ОрГМУ



